
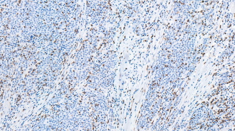
Photo: Image of a Tumor with cancer cells in blue and immune cells in brown
HealthScientists Uncover Anti-Inflammatory Strategies to Fight Cancer
After years of advanced trials and experiments, scientists have now revealed a new exciting discovery that shows how targeting inflammatory cells could slow down cancer growth and spread and could even be prevented if done in the earliest stages.
Among the most recent trials, one initially aimed at reducing heart disease has proven that taking a drug blocking the molecule interleukin-1 beta (IL-1) – one of the biggest reasons for human inflammation – can additionally develop less cancers.
In fact, scientists believe some in the group of 10,000 patients even already had small lung cancers because of their smoking history, but the IL-1 blockers stopped the cancers from progressing.
Frances Balkwill from the Centre for Cancer and Inflammation says that further research along with new treatments combining immunotherapy with anti-inflammatory treatments “hold promise for the future”.



