
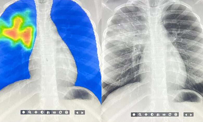
Many low- and middle-income countries are using AI to screen for tuberculosis. This AI model produces what looks like a heat map with spots highlighted in yellow-red that indicate the algorithm detects signs of TB. Image Credit: ARCAD Santé PLUS
HealthTechnology The WorldAI X-Ray Transforms Treating the Deadliest Disease
AI-powered X-ray screening is transforming the fight against tuberculosis, enabling faster diagnosis in more than 80 low- and middle-income countries where radiologists are scarce.
“This is revolutionary,” said Dr Lucica Ditiu, head of the Stop TB Partnership. “There are countries with fewer than five radiologists. Now, AI can read X-rays anywhere — even in the middle of nowhere.”
Tuberculosis kills 3,500 people every day and remains the world’s deadliest infectious disease, yet screening has long depended on slow lab tests and overstretched health staff. Today, mobile X-ray units paired with AI software can identify signs of TB in seconds, enabling health workers in places like Mali, Nigeria, and Chad to diagnose and treat patients promptly. Programmes backed by the Global Fund have already screened millions of people and halved the number of expensive sputum tests needed, speeding up treatment and reducing transmission. While experts warn that patient safeguards and oversight must keep pace, early results show that AI is helping countries detect TB faster than ever — a breakthrough with the potential to save hundreds of thousands of lives each year.



